Камаллянус - это гельминтоз, вызванный живородящими нематодами рода Camallanus. Camallanus – это опасные живородящие нематоды, вызывающие у аквариумных рыб очень тяжелый гельминтоз. В аквариумной среде эти паразиты встречаются довольно часто, и при отсутствии своевременной терапии способны нанести громадный ущерб здоровью рыбок.
Важно отметить, что названия "камаллянус" и "камалянус", обозначают одного и того же паразита. Второй вариант — ошибочный, но широко распространённый в сети, просто потому что так проще писать и воспринимать.
До 70-х годов XX века в отечественных аквариумах этих гельминтов не было вообще. Они появились вместе с импортными рыбами, завезёнными из Азии. В естественных условиях жизненный цикл Camallanus включает промежуточного хозяина (циклопы или личинки насекомых). В аквариуме же паразиты могут обходиться без него, поскольку самки рождают полностью сформированных личинок. Эти личинки некоторое время живут в грунте, а затем попадают в организм рыб вместе с кормом, который те собирают со дна.
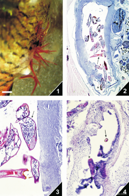
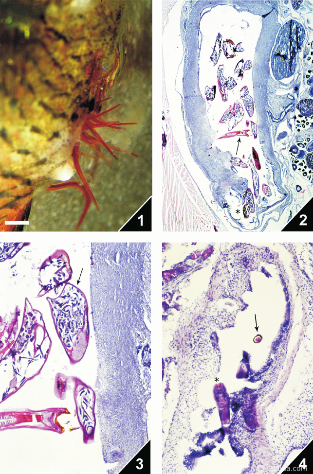
Самки камалянусов достигают более 1 см в длину, самцы значительно меньше – около 3 мм. Паразитов можно заметить даже без микроскопа: у заражённых рыб самки периодически высовывают заднюю часть тела из анального отверстия. Даже если этого не видно, заподозрить заболевание можно по припухлости живота в области ануса. Это связано с тем, что мощный прикрепительный аппарат червя травмирует кишечник, вызывая воспаление и повреждения тканей.
Взрослые самки камалянусов производят десятки микронематод в день. Всё в аквариуме заражается ими
буквально за считанные дни.
Основные признаки заражения камаллянусом:
- припухлость задней части брюшка
- заметные красные черви, выглядывающие из анального отверстия
- воспалённые ткани и выпадение участка кишечника в тяжелых случаях
Строение паразита характерно: на головной капсуле находятся кутикулярные выросты, служащие органом фиксации и захвата пищи. Благодаря этим образованиям эту гадкую нематоду легко опознать. Европейские аквариумисты даже прозвали её "cutter block" - "резцовый блок", из-за схожести с фрезой.
Camallanus питается в основном кровью рыбы. Крупные самки могут насквозь пробивать кишечник у мелкой особи, что приводит к её гибели. Даже без пробоя прикрепление и питание паразита вызывают некроз тканей, язвы и сильное воспаление. Рыбы становятся вялыми, отстают в росте, худеют, иногда у них искривляется позвоночник.
Болезнь поражает разные виды аквариумных рыб: чаще всего — гуппи и других пецилиевых, но встречается и у карповых, цихлид, лорикариевых сомов.
Лечение и борьба с камаллянусом
Методы дегельминтизации аналогичны тем, что применяются против других круглых червей. Важно строго соблюдать дозировки: снижать их нельзя, так как паразиты очень устойчивы. К счастью, они не откладывают яиц, поэтому достаточно двух обработок с интервалом 3–5 дней (вторая нужна для надёжности).
-
blogger
